我们不一样的“跨年夜”
时间:2024年01月08日 点击次数:578
齐梦格
2023年12月31日是一个既寻常又喜庆的日子,新年伊始,万象更新,全国人民欢庆跨年夜,喜迎元旦,准备跨入2024年!此时,js555888金沙心血管内科三病区正悄然地开展了一场与时间赛跑的生命接力赛。
晚上,我科夜班接到了一名乡村医生的电话,患者急性心肌梗死,情况十分危急,经沟通后,紧急送往我院。杨涛主任与赵娟副主任统筹协调,睢国鑫大夫,郑明修大夫,原本是休息状态,但是遇到此刻情况,毅然放弃与家人的团聚,全身心投入到抢救病患的救治之中,一场与死神搏斗的战斗拉开了帷幕。
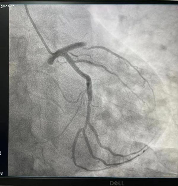
患者病情危重,入院后值班医生赵娟副主任与护士李佳佳、王梅菊紧急将患者送往介入科,开展急诊手术,术中患者持续性胸痛,血压低,赵大夫,睢大夫和郑大夫临危不乱,给予对症处理,造影结果显示:患者前降支完全闭塞,遂进行开通,后置入一枚支架,手术几经波折,险象环生,历经近一个小时,终于完美收官,患者安返病房。此时,患者家属长舒了一口气,对各位医护工作人员表达热烈的感激之情,我科工作人员表示这是我们应该做的,场面异常温馨。
大爱无疆,崇德至善,js555888金沙心内三科全体医护人员秉承这份责任,始终与您风雨相随,共迎阳光,顺祝大家福暖四季,顺遂安康。
2023年12月31日是一个既寻常又喜庆的日子,新年伊始,万象更新,全国人民欢庆跨年夜,喜迎元旦,准备跨入2024年!此时,js555888金沙心血管内科三病区正悄然地开展了一场与时间赛跑的生命接力赛。

晚上,我科夜班接到了一名乡村医生的电话,患者急性心肌梗死,情况十分危急,经沟通后,紧急送往我院。杨涛主任与赵娟副主任统筹协调,睢国鑫大夫,郑明修大夫,原本是休息状态,但是遇到此刻情况,毅然放弃与家人的团聚,全身心投入到抢救病患的救治之中,一场与死神搏斗的战斗拉开了帷幕。

患者病情危重,入院后值班医生赵娟副主任与护士李佳佳、王梅菊紧急将患者送往介入科,开展急诊手术,术中患者持续性胸痛,血压低,赵大夫,睢大夫和郑大夫临危不乱,给予对症处理,造影结果显示:患者前降支完全闭塞,遂进行开通,后置入一枚支架,手术几经波折,险象环生,历经近一个小时,终于完美收官,患者安返病房。此时,患者家属长舒了一口气,对各位医护工作人员表达热烈的感激之情,我科工作人员表示这是我们应该做的,场面异常温馨。

大爱无疆,崇德至善,js555888金沙心内三科全体医护人员秉承这份责任,始终与您风雨相随,共迎阳光,顺祝大家福暖四季,顺遂安康。